PortadaAparato digestivoPortadaIndiceLectura sugeridaBibligrafíaGlosarioTest
AtrásAdelante


 

Cerebro 
Vista Lateral

Cerebro 
Vista Medial

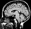
Resonancia Magnetica 
Encefálica